インプラント治療とは
インプラント(人工歯根)を顎の骨に埋め込んで土台とし、その上に人工歯を被せて「歯の機能」と「見た目」を天然歯に近い状態に回復させる治療方法です。
歯を失ってしまった方、何らかの理由で天然歯の抜歯が必要な方、入れ歯やブリッジの使用感にご不満のある方に適した治療方法のひとつです。
当院のインプラント治療
インプラント治療で一番重要なのは、「安全性」です。
インプラント治療は一般歯科治療と異なり、外科手術によってインプラントを顎の骨に埋め込むため、不安に感じられる方もいらっしゃいます。
その不安を軽減するためには、まず綿密な治療計画を立てることが重要です。
そのため、カウンセリングや精密検査はもちろんですが、
虫歯や歯周病などの治療が必要な部分の把握、これまでにかかった病気や行なった手術など、
通院されている医科との連携により確認していきます。
なお、精密検査の結果、顎の骨が極端に少ない方、歯周病が進行している方、また慢性疾患をわずらっている方など負担の大きい治療となってしまう場合、他の治療方法を提案させていただくこともあります。
それは「患者様にとって最も安全である治療は何か」を常に考え、診断してことが大切だと考えているからです。
インプラントを長期間、安全に使用していただくために。
インプラントを支えている歯肉や顎の骨は歯周病にかかってしまうと、インプラントがぐらついたり抜け落ちてしまったりする可能性があります。
インプラント治療後は、歯周病の予防管理も併せて行なうことで、健康な歯を維持していきます。
インプラント治療のメリット・デメリット
メリット
・顎の骨にインプラントを埋め込むので、入れ歯のようなグラつきなどもなく、天然歯と同じようにしっかりと噛むことができます。
・見た目も自然で、人目を気にすることなく日常生活ができます。
・ブリッジのように隣接する健康な歯を削らなくてよいため、周囲の歯への影響がありません。
デメリット
・インプラント治療の費用は自費負担(保険適用外)になります。
・インプラントと顎の骨が結合する時間が必要なため、治療期間が長くなります。
・重度の糖尿病の方など、患者様の体の状態によっては治療できない場合があります。
インプラント治療の流れ
インプラント治療は、外科手術の他に、手術後の治癒期間、仮歯の作製などいくつかのステップがあります。
ステップ1: カウンセリング・精密検査
インプラント治療は、患者さまのお口の状態によって治療方法が大きく変わってきます。
まずは、検査や治療についての方法、治療期間、費用などの概要を詳しく説明させていただくとともに、患者さまのお口の悩みやご要望を伺っていきます。
全身の健康状態や病歴などもお伝えください。そののち、患者さまの意向を確認し、精密検査に入ります。
ステップ2: 診断と治療計画
精密検査の結果に基づいて、インプラント治療が患者さまに適した治療方法であるか、またその中でどの治療法が適しているかどうか診断していきます。
虫歯や歯周病などがあった場合は、こちらの治療を含めて、細かな治療計画を立てていきます。
また、骨を増やす処置が必要だと診断した場合、期間や費用などが通常の治療と変わってまいりますので、詳しくご説明させていただきます。
詳しくはこちら
ステップ3: 1次手術
口腔内の環境を清潔な状態にしたのち、歯を失った部分の歯肉を切開し、顎の骨に穴をあけてインプラントを埋め込みます。
その後に開いた歯肉を閉じて縫い合わせます。処置の時間は約2時間前後です。
局所麻酔を使用しますのでほとんど痛みを感じることはありません。手術後は安静にしていただき、当日のお酒やお風呂は控えてください。
ステップ4: インプラントと顎の骨の結合期間
インプラントと顎の骨が結合するのを待ちます。
結合期間は、治療部位や患者さまの骨質により異なりますが、およそ約2~6ヵ月ほどです。
また結合を待機している間、手術箇所がそのままの状態ですと日常生活や仕事に支障がでますので、通常はインプラントの上に仮歯を入れておきます。
ステップ5: 2次手術
再び歯肉を開き、埋まっているインプラントの頭の部分を露出させます。
そしてインプラントに人工の歯を取り付けるためのアバットメントと呼ばれる部品を装着し、歯肉を整えます。
2次手術は1次手術に比べて、切開する範囲も小さく、手術時間も短いので、体への負担が少ない手術となります。
ほとんどの場合30分程度で終わります。
ステップ6: 人工歯の装着
2次手術後、歯肉の治りを見て、最終的に使用する人工歯の型取りを行います。
そののち、歯の色や形などを決めて、精密に製作していきます。
噛みあわせや装着感・清掃性などの確認をして調整を行い、問題が無い場合、アバットメントに装着して固定し、完了となります。
ステップ7: 治療完了
インプラントを長く使い続けるためには、定期的なメインテナンスが必要不可欠です。インプラント周囲の歯肉の状態、噛み合わせなどを細かくチェックしていきます。
また、健康な状態を維持していくために毎日のお手入れ方法を指導いたします。
ご自身のホームケアと歯科医院でのプロフェッショナルなケアの両立によって、インプラントを含めたお口全体の健康を維持していきましょう。
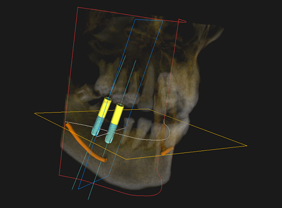
インプラント診断と治療計画
術前のCTでのシュミレーション
インプラント手術を安全に行うためには「従来の2次元のレントゲン」 だけではなく、「三次元レントゲン(歯科用CT)」が必須です。
当院ではインプラント治療に関しては必ずCT撮影を行い、事前に診査・診断を行います。(インプラント相談と治療の際のCT撮影は無料。通常12,000円(税別))
オレンジ色で示した部分が「下顎管」といって、顎の大事な「神経と血管」 が走行しています。これを傷つけてしまうと麻痺などの偶発症を引き起こすことがあります。
当院では適切な位置にインプラントを埋入するためにCT撮影とステント(埋入方向を定める装置) を使用し、より安全に手術を行うことに努めておりますので安心して治療を受けて頂くことが可能です。
当院ではCT撮影機器を設置しておりますので、遠方の大学病院や専門機関にCT撮影を依頼することなく撮影が可能です。
院内に設備があることで必要に応じて「すぐさまその場で撮影が可能」ですので、手術直前・中・直後にも撮影することが出来、より安全に施術することが可能です。
術後に適切な位置に埋入完了
術後のCT画像からも、シミレーション通り適切な位置にインプラントを埋入出来ていることが確認できます。
インプラント治療の方法
1回法と2回法とは
インプラントを埋め込む外科手術には、歯肉を1度のみ切開する「1回法」と2度切開する「2回法」があります。
1回法
1回法は、インプラントの上の部分を歯肉から露出させた状態のまま埋め込み、アバットメント(人工歯を固定するための部品)との連結までを1回の手術で行います。
そしてこの状態でインプラントと顎の骨の結合を待ちます。
2回法
2回法は、インプラントを完全に埋め入れた状態で、一旦歯肉を閉じます。
そしてインプラントが顎の骨と結合してから、2回目の歯肉切開の時に、アバットメントとの連結をします。
いずれもインプラントと顎の骨の結合とアバットメントとの連結が終わってから、人工歯を作り、土台に取り付けていきます。
●当クリニックでは、より安全性を高めた治療ができる「2回法」を推奨しております。
インプラント治療を成功させるには、インプラントと顎の骨の「結合期間」を設けることももちろん大切ですが、細菌に感染する可能性を限りなく低くすることがとても重要です。
2回法は外科手術を2回行うため体に負担はかかりますが、1回法に比べ、歯肉を完全に閉じた状態でインプラントと顎の骨と結合させることができ、細菌に感染する可能性が非常に低くなります。
また、そのままではインプラントを埋めることのできない骨量の少ない方や全身に疾患をお持ちの方など、多くの方に適応できる手術方法です。

















高座渋谷歯科クリニック






